لأول مرة بالطائف .. جراحة صدر لـ "طفل خديج" بمجمع الملك فيصل الطبي
الطائف — ابراهيم المفضلي
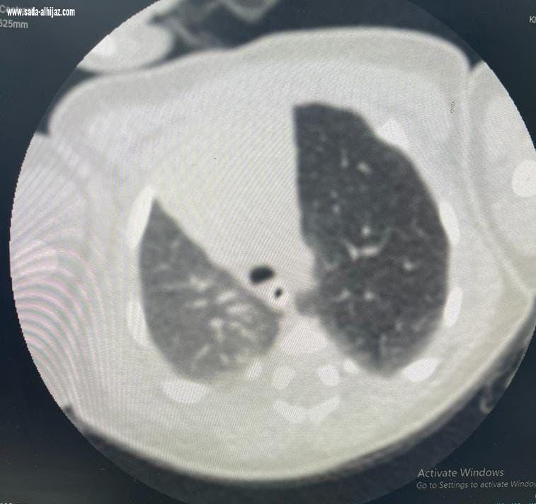
إستقبل مجمع الملك فيصل الطبي بالطائف حالة طفل خديج حديث الولادة يعاني من صعوبة في التنفس، وتم بشكلٍ عاجل عمل فحوصات وتحاليل وأشعة دقيقة للطفل أثبتت وجود تمدد بالفص الأيسر العلوي من الرئة، وتم تشكيل فريق طبي من عدة تخصصات شملت أطباء جراحة الصدر، وأطباء الرعاية الفائقة للأطفال الخُدج بالمجمع، وبعد دراسة الحالة تم اتخاذ قرار بإجراء جراحة عاجلة ودقيقة لاستئصال الفص الأيسر العلوي من الرئة عن طريق شق صدري محدود بمشاركة الدكتور نادر البرعي استشاري جراحة الصدر، والدكتور جاسر علي استشاري جراحة الصدر، والدكتورة عبير أحمد عبد السلام حسن طبيبة حديثي الولادة.
ووفقاً لما ذكرهُ متحدث صحة الطائف سراج الحميدان لـ "سبق"، فقد استغرقت الجراحة ساعتين وتحسنت الحالة الصحية للطفل بشكلٍ ملحوظ، وخرج المريض من المستشفى بعد أيام من العملية بدون مضاعفات بفضل الله.
وأشار "الحميدان" إلى أن هذا النوع من جراحات الصدر الخاصة بالأطفال حديثي الولادة تتم لأول مرة بالمحافظة في مجمع الملك فيصل الطبي، حيث تعدُ هذه الجراحة من الجراحات الدقيقة والتي تحتاج إلي تنسيق بين جراحي الصدر والتخدير والرعاية المركزة للأطفال الخُدج.














.jpg)
.jpg)


